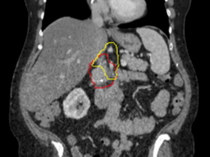
Image of a what is targeted with radiation. Red represents the pancreatic tumor, which is contacting with a major nearby artery. Yellow represents the Baltimore Triangle, which is now targeted in all patients, in addition to red volume. (IMAGE)
Caption
Image of a what is targeted with radiation. Red represents the pancreatic tumor, which is contacting with a major nearby artery. Yellow represents the Baltimore Triangle, which is now targeted in all patients, in addition to red volume.
Credit
Amol Narang, M.D.
Usage Restrictions
N/A
License
Original content