Candida auris diuring infection (IMAGE)
Caption
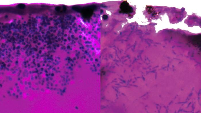
Right hand image shows candida auris filaments during infection stage
Credit
University of Exeter
Usage Restrictions
Only to be used alongside coverage of University of Exeter issued press release dd December 19 2026
License
Original content