Advanced Search
EurekAlert! Science News A service of the American Association for the Advancement of Science
EurekAlert! Science News A service of the American Association for the Advancement of Science
  • Home
  • News Releases
  • Multimedia
  • Meetings
  • Login
  • Register

Multimedia Images

Asian elephant (Elephas maximus)

Asian elephant (Elephas maximus)Max Planck Institute for Evolutionary Anthropology

The “slave-making ant” Temnothorax americanus (left) and its host Temnothorax longispinosus

The “slave-making ant” Temnothorax americanus (left) and its host Temnothorax longispinosus...Johannes Gutenberg Universitaet Mainz

Global neurosurgeons collaborating through digital platforms and virtual case discussions

Global neurosurgeons collaborating through digital platforms and virtual case discussions...Chinese Neurosurgical Journal

Albatross chick with satellite tracking device on back-2

Albatross chick with satellite tracking device on back-2...University of the Sunshine Coast

Albatross chick with satellite tracking device on back.

Albatross chick with satellite tracking device on back....University of the Sunshine Coast

Albatross fitted with tracking device on back.

Albatross fitted with tracking device on back.University of the Sunshine Coast

SUMOylation is elevated in human anterior subcapsular cataract (ASC) and drives the epithelial-mesenchymal transition (EMT) of lens epithelial cells (LECs).

SUMOylation is elevated in human anterior subcapsular cataract (ASC) and drives the epithelial-mesenchymal transition (E...Compuscript Ltd

Mechanistic scheme of SUMO E1-mediated SMAD4 SUMOylation in lens fibrogenesis.

Mechanistic scheme of SUMO E1-mediated SMAD4 SUMOylation in lens fibrogenesis....Compuscript Ltd

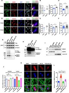
ML792 disrupts SMAD4 SUMOylation-dependent nuclear translocation in TGFβ2-stimulated lens epithelial cells (LECs).

ML792 disrupts SMAD4 SUMOylation-dependent nuclear translocation in TGFβ2-stimulated lens epithelial cells (LECs)....Compuscript Ltd

Figure 2. Mechanisms underlying Ewingella americana antitumor effects.

Figure 2. Mechanisms underlying Ewingella americana antitumor effects....Japan Advanced Institute of Science and Technology

Figure 1. Anticancer efficacy and Tumor response.

Figure 1. Anticancer efficacy and Tumor response.Japan Advanced Institute of Science and Technology

Miliacin Biomolecule in Human Dental Calculus from the Ostriv Burial

Miliacin Biomolecule in Human Dental Calculus from the Ostriv Burial...Vilnius University

  • 11
  • 12
  • 13
  • 14
  • 15

EurekAlert! The Global Source for Science News

AAAS - American Association for the Advancement of Science

Copyright © 2025 by the American Association for the Advancement of Science (AAAS)

  • facebook.com/EurekAlert
  • @EurekAlert
  • youtube.com/EurekAlert

  • Help / FAQ
  • Services
  • Eligibility Guidelines
  • Contact EurekAlert!
  • Terms & Conditions
  • DMCA
  • Privacy Policy
  • Disclaimer

Copyright © 2025 by the American Association for the Advancement of Science (AAAS)