Advanced Search
EurekAlert! Science News A service of the American Association for the Advancement of Science
EurekAlert! Science News A service of the American Association for the Advancement of Science
  • Home
  • News Releases
  • Multimedia
  • Meetings
  • Login
  • Register

Multimedia Images

Review on formation of iron (oxyhydr)oxide nanoparticles in the environment: interactions with metals, organics and microbes

Review on formation of iron (oxyhydr)oxide nanoparticles in the environment: interactions with metals, organics and micr...Biochar Editorial Office, Shenyang Agricultural University

P-modified biochar alters the microbial community in heavy metal-contaminated soils by regulating nutrient supply balance

P-modified biochar alters the microbial community in heavy metal-contaminated soils by regulating nutrient supply balanc...Biochar Editorial Office, Shenyang Agricultural University

Compositional evolution of dissolved organic matter mobilized by straw incorporation and its climate-driven interactions with lead in cold-region black soil: decoding mechanisms through PARAFAC and complexation modeling

Compositional evolution of dissolved organic matter mobilized by straw incorporation and its climate-driven interactions...Biochar Editorial Office, Shenyang Agricultural University

Yandina Creek wetland, Queensland, Australia.

Yandina Creek wetland, Queensland, Australia.University of Queensland

Schematic illustration of nanoclusters (red) separated in a liquid-like state within a supercritical fluid and the corresponding neutron beam scattering signals

Schematic illustration of nanoclusters (red) separated in a liquid-like state within a supercritical fluid and the corre...Pohang University of Science & Technology (POSTECH)

Dr Florence Rabier: Director-General at ECMWF

Dr Florence Rabier: Director-General at ECMWFECMWF

Dr Emma Pidduck: Data Policy and Partnerships Coordinator

Dr Emma Pidduck: Data Policy and Partnerships Coordinator...ECMWF

Dr. David Davis

Dr. David DavisBrain Chemistry Labs

Comparative Alzheimer's pathways in humans and dolphins

Comparative Alzheimer's pathways in humans and dolphins...Brain Chemistry Labs

Common bottlenose dolphins

Common bottlenose dolphinsBrain Chemistry Labs

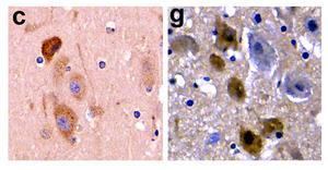
Alzheimer's pathology in the brain of a stranded dolphin

Alzheimer's pathology in the brain of a stranded dolphin...Brain Chemistry Labs

Neurological outcomes after patients suffer cardiac arrest at home are similar between low- and high-income areas in Vienna

Neurological outcomes after patients suffer cardiac arrest at home are similar between low- and high-income areas in Vie...European Society for Emergency Medicine (EUSEM)

  • 17
  • 18
  • 19
  • 20
  • 21

EurekAlert! The Global Source for Science News

AAAS - American Association for the Advancement of Science

Copyright © 2025 by the American Association for the Advancement of Science (AAAS)

  • facebook.com/EurekAlert
  • @EurekAlert
  • youtube.com/EurekAlert

  • Help / FAQ
  • Services
  • Eligibility Guidelines
  • Contact EurekAlert!
  • Terms & Conditions
  • DMCA
  • Privacy Policy
  • Disclaimer

Copyright © 2025 by the American Association for the Advancement of Science (AAAS)