uPAR targeting (IMAGE)
Caption
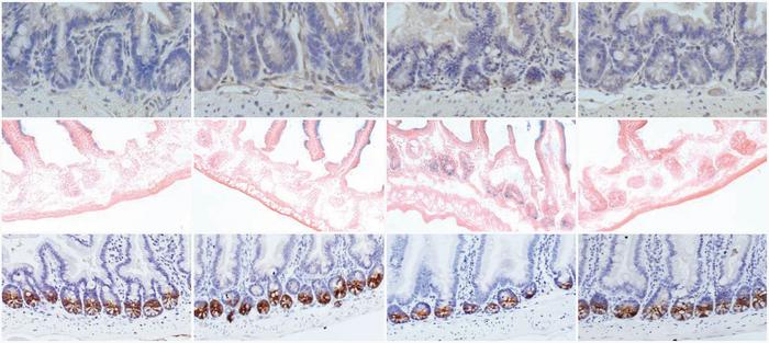
Treating the intestinal linings with uPAR-targeting CAR T cells improved gut health in both young mice (left) and older animals (right). Treated intestines (shown in the second and fourth columns) exhibited reductions in uPAR cells (top row), as well as reductions in damaged senescent cells (middle row) and increases in healthy stem cells (bottom row).
Credit
Amor Vegas & Beyaz labs/CSHL
Usage Restrictions
Attribution required
License
Original content