ML792 disrupts SMAD4 SUMOylation-dependent nuclear translocation in TGFβ2-stimulated lens epithelial cells (LECs). (IMAGE)
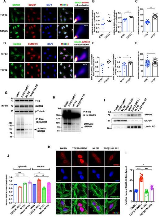
Caption
(A–F) FHL124 LECs were treated with or without TGFβ2 (10 ng/mL, 2 h). Triple immunofluorescence staining of SMAD4 (green), SUMO1 (red)/SUMO2/3 (red), and DAPI (nuclei, blue) shows spatiotemporal dynamics of SMAD4-SUMO colocalization. (A, D) SMAD4-SUMO1/SUMO2/3 immunofluorescence staining and colocalization scatterplot.
(B, E) Pearson's r analysis of colocalization performed by Image J. n = 9 replicates per group.
(C, F) Quantification of nuclear SMAD4 intensity. n = 30 cells in (C) and n = 44 cells in (F). Unpaired Student's t-test; *P < 0.05 and ***P < 0.001.
(G, H) Flag-SMAD4 immunoprecipitation in engineered FHL124 LECs overexpressing Flag-SMAD4. Treatments were 0.1% DMSO, TGFβ2 (10 ng/mL), ML792 (10 μM), or their combination for 2 h.
(G, H) Whole-cell lysates were blotted with anti-Flag and anti-SMAD4 (INPUT). Cell lysates were immunoprecipitated with anti-Flag, followed by SUMO1 immunoblotting (G) and SUMO2/3 immunoblotting (H).
(I, J) Subcellular fractionation analysis. (I) Immunoblots of cytoplasmic/nuclear SMAD4 after 8 h treatments in FHL12.4 LECs. (J) Quantification was normalized to GAPDH (cytoplasm) and lamin A/C (nucleus). One-way ANOVA with Bonferroni correction; ns, not significant; **P < 0.01 and ***P < 0.001.
(K, L) SMAD4 nuclear translocation analysis. (K) Triple immunofluorescence staining SMAD4 (red), F-actin (Phalloidin, green), and DAPI (nuclei, blue) in LECs treated as indicated in (I). Scar bar: 20 μm. (L) Nuclear SMAD4 fluorescence intensity quantification. n = 30 cells per group. One-way ANOVA with Bonferroni post-hoc test; *P < 0.05 and ***P < 0.001.
Credit
Min Hou, Yujie Ding, Xuan Bao, Liangping Liu, Yulan Wang, Mingxing Wu
Usage Restrictions
Credit must be given to the creator. Only noncommercial uses of the work are permitted. No derivatives or adaptations of the work are permitted.
License
CC BY-NC-ND