MK7602 Efficacy (IMAGE)
Caption
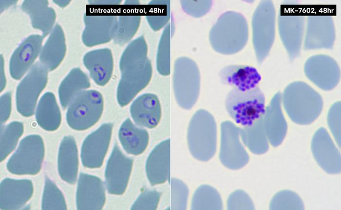
These images show the malaria parasites before and after treatment. On the left, the parasites (in purple) are spread out, actively invading human red blood cells (in blue). But when the MK-7602 drug candidate was used, it was able to successfully trap the parasites inside the red blood cells (shown in the clusters on the right) – halting the malaria cycle in its tracks and preventing further transmission.
Credit
WEHI
Usage Restrictions
Free to share, must credit.
License
Original content