News Release

City of Hope Research Spotlight, September 2025

A clue to leukemia treatment resistance, racial disparities in breast cancer, stronger CAR T therapies and therapies that use venom and viruses to fight cancer

Peer-Reviewed Publication

City of Hope

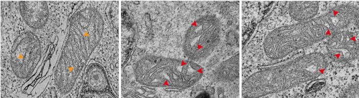
Turning off the ALKBH1 gene damages the inner folds of mitochondria, showing its importance for keeping these cellular “power plants” healthy.

image: 

Turning off the ALKBH1 gene damages the inner folds of mitochondria, showing its importance for keeping these cellular “power plants” healthy.

view more 

Credit: City of Hope

This roundup highlights new insights into why acute myeloid leukemia resists treatment, racial disparities in triple-negative breast cancer, a potential strategy to make CAR T therapies stronger, early human trial results for an investigational new treatment for glioblastoma and a new approach to fighting pancreatic cancer — with a virus. 

To learn more about research at City of Hope, one of the largest and most advanced cancer research and treatment organizations in the United States with its National Medical Center ranked among the nation’s top cancer centers by U.S. News & World Report, subscribe to City of Hope Research Spotlight

 

Study Identifies Key Protein Driving Resistance in Acute Myeloid Leukemia 

Venetoclax, a targeted therapy for acute myeloid leukemia (AML), has significantly improved survival for this aggressive blood cancer. Still, up to 40% of patients don’t respond to the drug, and many of those who do respond end up relapsing. New City of Hope research helps explain why — and points to a potential strategy for overcoming this resistance.  

Senior author Jianjun Chen, Ph.D., professor and chair of City of Hope’s Department of Systems Biology, showed that a protein called ALKBH1 plays a key role in how acute myeloid leukemia hijacks a process called codon-biased translation, which makes essential tumor-promoting proteins, helping cancer cells survive and resist treatment. 

Chen, director of the Center for RNA Biology and Therapeutics at City of Hope, showed that ALKBH1 targets mitochondria, a cell’s energy generator. ALKBH1 alters how mitochondria are built, enabling them to produce energy more efficiently. This energy boost helps leukemia cells survive, grow and resist treatment.  

Lab and animal models found that blocking ALKBH1, especially when combined with venetoclax, was effective in fighting leukemia, with few side effects. The findings point to a promising new treatment strategy for AML, and possibly other cancers where ALKBH1 is overactive. 

Read the paper in Cancer Discovery

 

Uncovering the Molecular Landscape of Triple-Negative Breast Cancers from Black Women 

Triple-negative breast cancer is a very aggressive form of breast cancer that has a high rate of relapse and higher mortality rates compared to hormone receptor positive breast cancers. These tumors also are diagnosed at higher rates among young African American women.   

A new study led by City of Hope’s John Carpten, Ph.D., reported the results of the most in-depth, comprehensive genomic assessment of triple-negative breast cancers from Black women to date.  Researchers analyzed tumor samples from 462 Black women and found that tumors derived from Black women were more likely than other groups to have tumors with mutations in the TP53 gene and less likely to have mutations in the PIK3CA gene.  Researchers also found that tumors fell into two major subtypes based upon genomic mutation profiles: one that was linked to younger age, more mutations and better survival; and another linked with older age, higher body mass index, weaker immune response and worse survival. 

The findings also indicated that many Black women with triple-negative breast cancer could benefit from newer targeted and immune therapies — and that they might benefit even more from certain therapies than white women.  In addition to providing new genetic insights into an aggressive type of breast cancer, the study highlights the importance of including Black women in cancer genomic studies, researchers noted. Dr. Carpten, chief scientific officer at City of Hope, was senior author on the study. 

Read the paper in Nature Genetics

 

Taking the Brakes Off Th9 Cells Could Make CAR T Therapies More Potent 

Th9 cells are a relatively newly described type of helper immune cell that have shown unusually strong tumor-fighting abilities, rallying other immune cells to attack cancer. Now innovative research by City of Hope scientists has identified a protein that plays a key role in controlling how these cells develop and work.  

The findings could be used to make CAR T cell therapies stronger and more effective against cancer — including against solid tumors, which have historically been difficult to treat with this type of immunotherapy.  

The study, led by City of Hope physician-scientist Michael Caligiuri, M.D., and assistant professor Shoubao Ma, Ph.D., focused on a protein called YTHDF2. The team found that this protein regulates RNA to block Th9 cell development. By removing the protein, they were able to unleash more Th9 cells with stronger tumor-fighting response. These modified Th9 cells were better at slowing tumor growth compared to regular ones.  

The findings open the door for an enhanced type of CAR-Th9 therapy that shows promise as a therapeutic strategy against solid-tumor cancers, the authors said.  

Read the paper in Nature Immunology

 

Novel CAR T Therapy Fights Glioblastoma — With Scorpion Venom 

A novel City of Hope-developed CAR T cell therapy that uses a component of scorpion venom shows promise against glioblastoma in early human trials.  

In the first patient cohort of an ongoing Phase 1 clinical trial, an investigational CLTX-CAR* T cell therapy was well tolerated by patients, with no serious or dose-limiting side effects, according to City of Hope researchers. The team also found that the cancer-attacking CAR T cells stayed active in the tumor area after treatment, an encouraging sign of the therapy’s effectiveness. The findings show that this approach is worth pursuing further, researchers added.  

Glioblastoma, a highly aggressive brain cancer, is difficult to treat in part because tumors hide from immune cells, making them highly resistant to immunotherapy. Chlorotoxin, or CLTX, is a peptide found in scorpion venom that binds to the cell membranes of glioblastoma tumor cells, without affecting healthy brain cells. The new therapy developed by City of Hope researchers uses CLTX to help CAR T cells find and target the glioblastoma cells.  

In a trial led by City of Hope neurosurgeon Behnam Badie, M.D., professor Michael Barish, Ph.D., and professor Christine Brown, Ph.D., four patients with recurrent glioblastoma received multiple increasing doses of CLTX-CAR T cells, which were injected directly into the brain tumor cavity after resection. Although all patients eventually died, which is typical at this advanced stage of the disease, three out of four saw their cancer stabilize for a time — another encouraging result.  

The research team will report additional findings from the trial, explore ways to increase the potency of the therapy and explore combination strategies.  

Read the paper in Cell Reports Medicine.  

* City of Hope has exclusively licensed CLTX-CAR to Chimeric Therapeutics, an Australian biotechnology company, and holds equity in the company. City of Hope and the inventors of the technology, including Dr. Barish and Dr. Brown, are entitled to commercialization revenues for the technology. In addition, Dr. Barish and Dr. Brown have personal equity in the company.    

 

Virus Engineered to Fight Pancreatic Cancer Shows Promise 

Pancreatic ductal adenocarcinoma (PDAC), the most common type of pancreatic cancer, is especially deadly and hard to treat because tumors create a protective microenvironment that hides them from the immune system. Now research by City of Hope scientists has found a potential strategy to overcome these defenses — by attacking the cancer with a virus. 

In a new preclinical study led by City of Hope surgeon-scientist Yanghee Woo, M.D., researchers tested a City of Hope-developed CF33 oncolytic virus, or a virus engineered to infect and kill cancer cells. The CF33-hNIS-antiPDL1 version of the virus has been modified to block a protein called PD-L1, which tumors use to shut down the immune system’s attack.  

In lab tests, they saw that pancreatic cancer cells increased PD-L1 levels when they were exposed to immune signals. The engineered virus then produced its own PD-L1 blocker and was able to successfully infect and kill the pancreatic cancer cells. 

In animal models, they found that mice with pancreatic cancer treated with the modified virus had fewer tumors, more immune cells and longer survival times. Delivering the City of Hope-developed virus directly into the abdominal cavity produced better results than giving it intravenously.  

The findings support continuing to develop CF33-hNIS-antiPDL1 as a potential therapy for pancreatic cancer, researchers said.  

Read the study in Biomedicine and Pharmacotherapy

 

# # # 

 

About City of Hope 

City of Hope's mission is to make hope a reality for all touched by cancer and diabetes. Founded in 1913, City of Hope has grown into one of the largest and most advanced cancer research and treatment organizations in the United States, and one of the leading research centers for diabetes and other life-threatening illnesses. City of Hope research has been the basis for numerous breakthrough cancer medicines, as well as human synthetic insulin and monoclonal antibodies. With an independent, National Cancer Institute-designated comprehensive cancer center that is ranked among the nation’s top cancer centers by U.S. News & World Report at its core, City of Hope’s uniquely integrated model spans cancer care, research and development, academics and training, and a broad philanthropy program that powers its work. City of Hope’s growing national system includes its Los Angeles campus, a network of clinical care locations across Southern California, a new cancer center in Orange County, California, and cancer treatment centers and outpatient facilities in the Atlanta, Chicago and Phoenix areas. City of Hope’s affiliated group of organizations includes Translational Genomics Research Institute and AccessHopeTM. For more information about City of Hope, follow us on Facebook, X, YouTube, Instagram and LinkedIn


Disclaimer: AAAS and EurekAlert! are not responsible for the accuracy of news releases posted to EurekAlert! by contributing institutions or for the use of any information through the EurekAlert system.