News Release

Epithelioid hemangioendothelioma: Rare vascular tumor mimics common hematoma

“This report aims to highlight the diagnostic nuances, potential for misinterpretation, and therapeutic dilemmas associated with EHE, thereby reinforcing the need for vigilance in evaluating seemingly “low-risk” atypical subcutaneous swellings.”

Peer-Reviewed Publication

Impact Journals LLC

Epithelioid hemangioendothelioma: A rare mimicker of post-traumatic hematoma

image: 

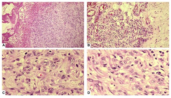
Figure 2

(A) Low magnification shows a vasoformative tumour. (B) Low magnification showing the tumour infiltrating the surrounding adipose tissue in a myxoid stroma. (C) High magnification showing a tumour composed of spindle and epithelioid cells with intracytoplasmic lumina containing erythrocytes. (D) High magnification showing a tumour consisting of sheets and nests of spindle and epithelioid cells with intracytoplasmic lumina and minimal atypia.

view more 

Credit: Copyright: © 2025 Sultana et al. This is an open access article distributed under the terms of the Creative Commons Attribution License (CC BY 4.0), which permits unrestricted use, distribution, and reproduction in any medium, provided the original author and source are credited.

This report aims to highlight the diagnostic nuances, potential for misinterpretation, and therapeutic dilemmas associated with EHE, thereby reinforcing the need for vigilance in evaluating seemingly “low-risk” atypical subcutaneous swellings.”

BUFFALO, NY — October 16, 2025 — A new case report was published in Volume 12 of Oncoscience on October 3, 2025, titled “Epithelioid hemangioendothelioma: A rare mimicker of post-traumatic hematoma.”

The report by Reshmi Sultana, Tushar M. Parmeshwar, Nynasindhu Akula, and Abhimanyu Sharma from the All India Institute of Medical Sciences, Bibinagar, describes a rare vascular tumor known as epithelioid hemangioendothelioma (EHE) that was initially mistaken for a benign hematoma. The case highlights the diagnostic challenges raised by rare tumors and emphasizes the need for careful evaluation of persistent or atypical swellings.

A 48-year-old woman presented with a painless swelling in her leg that appeared on imaging to be a blood-filled cyst. However, histopathological examination after surgical excision revealed it was EHE, a rare and potentially malignant vascular tumor. The patient had no history of trauma or pain, and even a needle biopsy failed to detect cancer, showing only red blood cells. The true diagnosis became clear only after the tissue was examined under the microscope.

Histopathological examination demonstrated polygonal endothelial cells with intracytoplasmic vacuoles containing erythrocytes indicative of a vascular origin.”

Immunohistochemistry, a laboratory method that uses biological markers to identify specific cell types, was key in confirming the diagnosis. The tumor cells tested positive for CD31 and CD34, confirming their origin from blood vessels.

Epithelioid hemangioendothelioma arises from the cells lining blood vessels and behaves unpredictably. It is more aggressive than benign vascular tumors but less aggressive than high-grade cancers. Because of its slow growth and subtle appearance, it is often mistaken for common non-cancerous conditions such as hematomas or cysts. Standard imaging tools like ultrasound and MRI can be misleading, as the tumor may appear benign. This similarity can delay diagnosis and treatment.

In this case, surgical excision served both as a diagnostic and curative step. The patient recovered without complications, and follow-up examinations showed no signs of recurrence or metastasis.

This report underscores the importance of considering rare cancers like EHE when evaluating unexplained, slow-growing swellings. While many cases remain localized, some can spread and become life-threatening. Complete surgical removal with clear margins remains the preferred treatment, and long-term follow-up is essential due to the tumor’s unpredictable nature. The findings serve as a reminder for clinicians to maintain vigilance when assessing lesions that appear benign but persist or behave unusually.

Continue reading: DOI: https://doi.org/10.18632/oncoscience.629

Correspondence to: Nynasindhu Akula — nynasindhuakula@gmail.com

Abstract video: https://www.youtube.com/watch?v=O0Aer57VPJw

Keywords: cancer, epitheloid haemangioendothelioma, haematoma, vascular neoplasm, subcutaneous swelling, immunohistochemistry

Click here to sign up for free Altmetric alerts about this article.

About Oncoscience

Oncoscience is a peer-reviewed, open-access, traditional journal covering the rapidly growing field of cancer research, especially emergent topics not currently covered by other journals. This journal has a special mission: Freeing oncology from publication cost. It is free for the readers and the authors.

Oncoscience is indexed and archived by PubMed, PubMed Central, Scopus, META (Chan Zuckerberg Initiative) (2018-2022), and Dimensions (Digital Science).

To learn more about Oncoscience, visit Oncoscience.us and connect with us on social media:

Click here to subscribe to Oncoscience publication updates.

For media inquiries, please contact media@impactjournals.com.


Disclaimer: AAAS and EurekAlert! are not responsible for the accuracy of news releases posted to EurekAlert! by contributing institutions or for the use of any information through the EurekAlert system.