News Release

Macrophage-driven U2AF1 promotes heart repair after heart attack via Yap1 splicing

Peer-Reviewed Publication

Higher Education Press

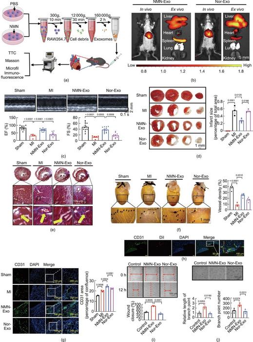
NMN-Exo improve the cardiac function of MI mice through angiogenesis.

image: 

(a) Experimental flowchart outlining the process of macrophage exosome extraction and the in vivo tail vein injection of exosomes in mice. The RAW264.7 cell line was used for the experiment and culture medium was collected after PBS or NMN treatment. Exosomes were separated by differential centrifugation and injected into mice via the tail vein for subsequent experiments. (b) Representative in vivo and ex vivo fluorescent images of various organs in mice injected with DiR-labeled exosomes. Scale bar, 5 mm. n = 3. (c) Echocardiographic detection of changes in cardiac function on the seventh day after MI. Scale bars, 2 mm (right row), 0.1 s (bottom row). n = 5–13. One-way ANOVA with Tukey’s test. (d) Representative images of four cardiac slices from the Sham group, MI group, and the mice subjected to Nor-Exo or NMN-Exo treatment after MI, followed by TTC staining. Scale bar, 1 mm. n = 3. One-way ANOVA with Tukey’s test. (e) Masson staining revealing the effect of NMN-Exo treatment on collagen deposition and angiogenesis in the infarcted area. Scale bars, 100 μm, 20 μm (higher magnification). (f) The effect of NMN-Exo treatment on angiogenesis in the border zone of MI by Microfil angiography. Arrows indicate microvascular branches filled with Microfil contrast agents. Scale bars, 1 mm (top row), 1 mm (bottom row), n = 4. One-way ANOVA with Tukey’s test. (g) The effect of NMN-Exo treatment on angiogenesis in the border zone of MI by CD31 immunofluorescence. CD31 (green), DAPI (blue). Scale bars, 100 μm, 200 μm (second magnification). n = 3. One-way ANOVA with Tukey’s test. (h) Co-localization of exosomes and vascular endothelial cells. CD31 (green), Dil (red), DAPI (blue). Scale bars, 50 μm, 150 μm (second magnification). (i) Effect of NMN-Exo treatment on HUVEC migration. Scale bar, 100 μm. n = 3. One-way ANOVA with Tukey’s test. (j) Effects of NMN-Exo treatment on HUVEC tube formation. Scale bar, 100 μm. n = 3. One-way ANOVA with Tukey’s test.

view more 

Credit: Manyu Gong, Haodong Li, et al.

A study published in Engineering shows that a protein called U2 small nuclear RNA auxiliary factor 1 (U2AF1), released by immune cells known as macrophages, helps grow new blood vessels in the heart after a myocardial infarction (MI) by altering how the gene Yap1 is spliced. The findings point to a new mechanism through which immune cells support heart repair and suggest U2AF1 could serve as a marker for recovery potential.

 

Researchers from Harbin Medical University and their collaborators focused on the role of macrophage-derived exosomes—tiny vesicles that carry proteins and genetic material—following treatment with nicotinamide mononucleotide (NMN), a precursor to the vital nicotinamide adenine dinucleotide (NAD⁺). In both mouse models and human samples, NMN was found to shift macrophages toward a repair-promoting state, increasing their release of exosomes containing U2AF1.

 

In mouse experiments, exosomes from NMN-treated macrophages improved heart function after MI, as measured by echocardiography. These exosomes reduced infarct size and fibrosis, while enhancing capillary density in the border zone of damaged tissue. The beneficial effects were linked to the uptake of exosomes by endothelial cells, which line blood vessels and are central to forming new vessels. [The research adhered to the principles of the Declaration of Helsinki and received approval from the Ethics Committee of Harbin Medical University (No. IRB5016723).]

 

Proteomic analysis of the exosomes revealed that U2AF1, a splicing factor involved in RNA processing, was among the most enriched proteins. When U2AF1 was overexpressed specifically in endothelial cells, mice showed better recovery after MI, with increased vascularization and improved cardiac output. Conversely, mice with endothelial-specific deletion of U2af1 had poorer outcomes, including reduced survival, larger infarcts, and lower capillary density.

 

Further investigation showed that U2AF1 regulates alternative splicing of Yap1, a transcriptional regulator in the Hippo pathway. Specifically, U2AF1 promoted the inclusion of exon 4 in Yap1 mRNA, favoring the formation of the Yap1-2γ isoform over Yap1-1δ. Overexpression of Yap1-2γ enhanced endothelial cell migration and tube formation in vitro, while Yap1-1δ had a weaker effect. These results suggest that U2AF1-mediated splicing of Yap1 fine-tunes the angiogenic response after heart injury.

 

In clinical samples, plasma U2AF1 levels were significantly lower in patients with acute myocardial infarction compared to those with unstable angina. Among MI patients, individuals with poorly developed coronary collateral vessels—assessed using the Rentrop scoring system—had lower U2AF1 levels than those with better collateral circulation. This correlation supports the idea that circulating U2AF1 may reflect the heart’s ability to form compensatory vessels after an infarction.

 

The study builds on previous findings that NAD⁺ metabolism influences macrophage behavior and vascular repair. NMN, as a booster of NAD⁺, was shown to enhance the release of reparative exosomes from macrophages, offering a potential therapeutic route. Unlike direct NMN administration, which has limited tissue specificity, exosome-based delivery may allow targeted modulation of endothelial function.

 

The researchers caution that while U2AF1 shows promise as both a therapeutic target and a biomarker, further work is needed to validate its clinical utility. Variability in circulating U2AF1 over time and across individuals will need to be addressed in larger and longer-term studies. Nonetheless, the study provides a clearer picture of how immune-endothelial communication shapes heart repair and identifies a previously underappreciated role for RNA splicing in post-MI angiogenesis.

 

The paper “Macrophage-Secreted U2AF1 Orchestrates Coronary Artery Angiogenesis to Facilitate Myocardial Infarction Repair Through the Regulation of Yap1 Variable Splicing,” is authored by Manyu Gong, Haodong Li, Lei Jiao, Tong Liu, Yanwei Zhang, Jie Liu, Siyu Wang, Hao Wang, Dongping Liu, Zhaoyue Li, Zhiyuan Du, Lihua Sun, Lina Xuan, Shihua Lv, Xuewen Yang, Yanying Wang, Yingfeng Tu, Mengmeng Li, Haodi Wu, Xin Li, Xue Feng, Juan Xu, Wenzhi Li, Yong Zhang, Ying Zhang, Baofeng Yang. Full text of the open access paper: https://doi.org/10.1016/j.eng.2025.06.006. For more information about Engineering, visit the website at https://www.sciencedirect.com/journal/engineering.


Disclaimer: AAAS and EurekAlert! are not responsible for the accuracy of news releases posted to EurekAlert! by contributing institutions or for the use of any information through the EurekAlert system.