News Release

Systematic preoperative CT assessment of submental island flap vasculature: development of a standardized protocol and characterization of anatomical patterns

Peer-Reviewed Publication

Higher Education Press

Image

image: 

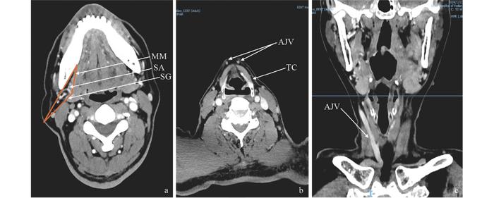
Vascular localization method in CT imaging

view more 

Credit: HIGHER EDUCATON PRESS

The reconstruction of head and neck defects following oncologic surgery remains a significant surgical challenge. The submental island flap, harvested from the chin region, is a valuable workhorse due to its proximity, good tissue match, and reliable blood supply. However, variability in the origin and course of its pedicle artery, the submental artery, can pose risks during flap elevation and transfer, potentially leading to complications.

This research, published in ENT Discovery, introduces a systematic preoperative assessment protocol using computed tomography angiography (CTA). The study by Yangyang Ji and colleagues analyzed a large patient cohort to define and categorize the anatomical variations of the submental artery, particularly its origin from the facial artery. The developed standardized protocol enables precise visualization of the vascular course, caliber, and relationship to key anatomical landmarks. By identifying dominant patterns and potential anomalies, it allows surgeons to tailor their approach, minimize intraoperative surprises, and optimize flap design for individual patients.

While this protocol significantly advances preoperative planning, its successful implementation requires consistent radiological expertise and seamless integration into the surgical workflow. Further validation across diverse populations and correlation with intraoperative findings and clinical outcomes are necessary to fully establish its predictive value. This work, entitled “Systematic Preoperative CT Assessment of Submental Island Flap Vasculature: Development of a Standardized Protocol and Characterization of Anatomical Patterns” was published on ENT Discovery (published on Dec. 31, 2025).


Disclaimer: AAAS and EurekAlert! are not responsible for the accuracy of news releases posted to EurekAlert! by contributing institutions or for the use of any information through the EurekAlert system.