The Therapeutic Potential of OSMI-1 (IMAGE)
Caption
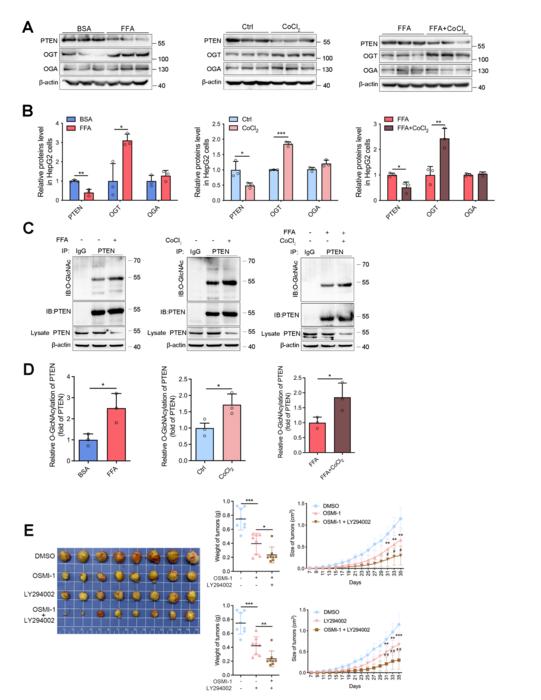
(A-D) Western blotting and quantifications of PTEN, O-GlcNAcylation and related proteins. Before harvesting, cells were treated with free fatty acids (FFA) or CoCl2, or a combination of both. (E) Xenograft tumors in nude mice. Tumor-bearing nude mice were randomly assigned to four groups: control (vehicle, normal saline), OSMI-1 monotherapy, LY294002 monotherapy, and combination therapy. The volume curve of xenograft tumors in indicated groups and the weights of isolated tumors in indicated groups.
Credit
Jianming Li
Usage Restrictions
Marked by the credited.
License
Original content