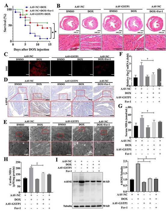
GSTP1 overexpression alleviates DOX-induced cardiomyopathy by reducing oxidative stress and preventing cardiac injury. (IMAGE)
Caption
Enhanced GSTP1 expression improved cardiac function and reduced structural damage in DOX-treated mouse hearts, demonstrating its ability to alleviate DOX-induced cardiomyopathy by mitigating oxidative stress.
Credit
Dr. Wenwu Ling from West China Hospital of Sichuan University Image source link: https://journals.lww.com/cmj/fulltext/2025/10050/gstp1_mediated_inhibition_of_acsl4_dependent.11.aspx
Usage Restrictions
Credit must be given to the creator. Only noncommercial uses of the work are permitted. No derivatives or adaptations of the work are permitted.
License
CC BY-NC-ND