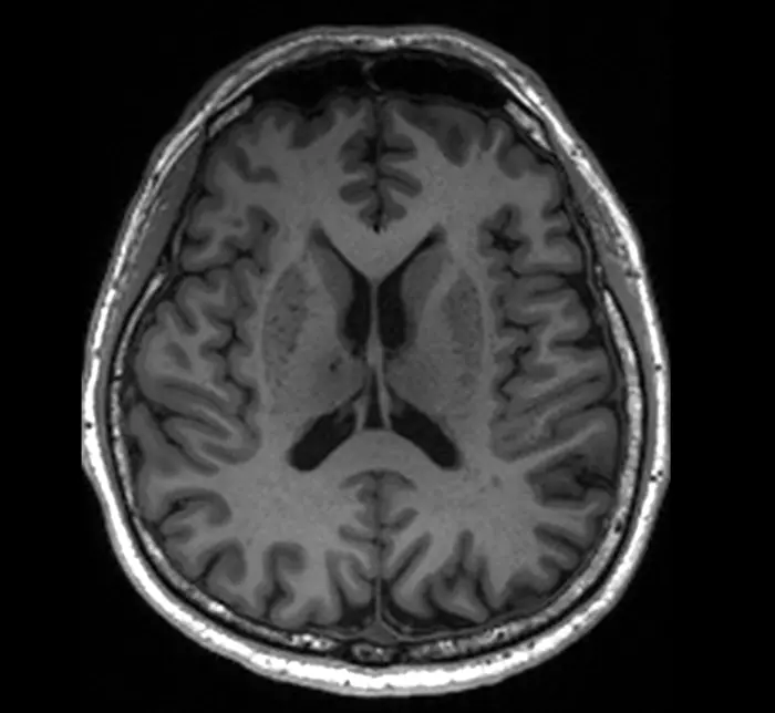
Image 4 - MRI image of a patient with enlarged perivascular spaces (IMAGE)
Caption
A magnetic resonance imaging image of a patient who has enlarged perivascular spaces, which are seen as dark lesions in dark grey regions around the centre of the brain.
Credit
NTU LKCMedicine
Usage Restrictions
Use with mandatory credit
License
Original content