News Release

Clogged ‘drains’ in the brain a likely early-warning sign of Alzheimer’s disease, find NTU Singapore scientists

Peer-Reviewed Publication

Nanyang Technological University

Image 1 - Associate Professor Nagaendran Kandiah (right) and Justin Ong from NTU Singapore

image: 

Associate Professor Nagaendran Kandiah (right) from Nanyang Technological University, Singapore, and Justin Ong, a medical student from the University, are part of the research team which discovered that “drains” in the brain, responsible for clearing toxic wastes in the organ, tend to get clogged up in people who show signs of developing Alzheimer’s disease.

view more 

Credit: NTU Singapore

“Drains” in the brain, responsible for clearing toxic waste in the organ, tend to get clogged up in people who show signs of developing Alzheimer’s disease, a study by researchers from Nanyang Technological University, Singapore (NTU Singapore) has discovered.

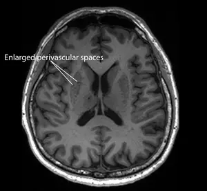
This suggests that such clogged drains, a condition known as “enlarged perivascular spaces”, are a likely early-warning sign for Alzheimer’s, a common form of dementia.

“Since these brain anomalies can be visually identified on routine magnetic resonance imaging (MRI) scans performed to evaluate cognitive decline, identifying them could complement existing methods to detect Alzheimer’s earlier, without having to do and pay for additional tests,” said Associate Professor Nagaendran Kandiah from NTU’s Lee Kong Chian School of Medicine (LKCMedicine) who led the study.

Justin Ong, a fifth-year LKCMedicine student and first author of the study, added that detecting Alzheimer’s early is important because it allows clinicians to step in sooner to try and slow down the worsening of a patient’s cognitive issues like memory loss, slower thinking abilities and mood changes. The study was conducted as part of LKCMedicine’s Scholarly Project module in the School’s Bachelor of Medicine and Bachelor of Surgery programme.

The research is also significant as it is one of the few globally to look at Asians, because most studies tend to focus on Caucasian participants. Nearly 1,000 people in Singapore from different ethnicities representative of the country’s population were studied by the team. The study compared people who had no cognitive issues and those with mild thinking problems.

Asian studies are crucial as past research suggests that there are differences in dementia-related conditions between people from different ethnic groups.

“For example, among Caucasians with dementia, past studies show that the prevalence of a major risk gene, apolipoprotein E4, linked to Alzheimer’s is around 50 to 60 per cent. But among Singapore dementia patients, it is less than 20 per cent,” said Assoc Prof Kandiah, who is also Director of the Dementia Research Centre (Singapore) in LKCMedicine. So, findings in studies on Caucasian patients might not be observed in Asians and vice versa.

Predicting Alzheimer’s before it happens

Blood vessels in the brain are surrounded by spaces, called perivascular spaces, where toxic waste in the brain, such as beta amyloid and tau proteins found in large amounts for Alzheimer’s patients, drain into and are cleared.

If these drains get clogged because the brain’s system of clearing toxic waste is not working efficiently, they form enlarged perivascular spaces, which can be seen on MRI scans. But it was not previously clear if this condition was also linked to dementia, specifically Alzheimer’s disease. 

The NTU researchers sought to address issues with earlier studies by comparing the clogged brain drains against more Alzheimer’s disease indicators than previously tested. They also compared the jammed drains against hallmark indicators of Alzheimer’s – beta amyloid proteins and damage to the brain’s white matter, which is a nerve fibre network connecting various parts of the brain. 

The researchers studied close to 1,000 participants in Singapore, including nearly 350 who do not have any cognitive problems, meaning their mental abilities, such as their ability to think, remember, reason, make decisions and focus, are normal.

The rest of the participants had features suggesting early stages of cognitive disease, including mild cognitive impairment which is a stage that precedes overt dementia. According to past research, those with mild cognitive impairment have a higher risk of developing dementia like Alzheimer’s disease and vascular dementia, which is a type of dementia caused by reduced blood flow to the brain.

For the latest study, the researchers analysed the MRI scans of the participants and found that those with mild cognitive impairment tend to have clogged drains in their brains, or enlarged perivascular spaces, compared to the other participants.

The scientists also took seven measurements based on specific biochemicals in the participants’ blood, including beta amyloid and tau proteins. Their presence is a warning sign that a person has Alzheimer’s.

The presence of clogged drains in the brain was linked to four of the seven measurements. So, people with enlarged perivascular spaces are likely to have more amyloid plaques, tau tangles and brain cell damage in their brains than normal, and are thus at higher risk of developing Alzheimer’s.

The researchers also studied if damage to the brain’s white matter, a well-known indicator of Alzheimer’s, was linked to the biochemicals tied to the disease, and they did find such links with six of the seven biochemical measurements, but with a twist. 

They further compared the white matter damage against enlarged perivascular spaces, and discovered that in participants with mild cognitive impairment, the link with biochemicals tied to Alzheimer’s was stronger for enlarged perivascular spaces than for white matter damage. This suggests that choked brain drains are early indicators of Alzheimer’s disease. 

Knowing all this allows clinicians to better figure out what kind of treatment they should use to slow and prevent Alzheimer’s early, possibly before permanent brain damage has happened.

“The findings carry substantial clinical implications,” said Assoc Prof Kandiah. “Although white matter damage is more widely used in clinical practice to evaluate for dementia, as it is easily recognised on MRI scans, our results suggest that enlarged perivascular spaces may hold unique value in detecting early signs of Alzheimer’s disease.”

Dr Rachel Cheong Chin Yee, a Senior Consultant and Deputy Head at Khoo Teck Puat Hospital’s Department of Geriatric Medicine, said that the study highlights how changes in the brain’s small blood vessels – in this case enlarged perivascular spaces that surround the blood vessels and help clear waste from the brain – may contribute to Alzheimer’s disease.

“These findings are significant because they suggest that brain scans showing enlarged perivascular spaces could potentially help identify people at higher risk of Alzheimer’s disease, even before symptoms appear,” said Dr Cheong, who was not involved in the study.

Dr Chong Yao Feng, a Consultant at the National University Hospital’s Division of Neurology and who was also not involved in the NTU study, said that cerebrovascular diseases – conditions that cause problems in the blood vessels of the brain – and Alzheimer’s disease are traditionally believed to be caused by different processes.
 
“The study’s findings are intriguing as they demonstrate that both diseases do interact in a synergistic manner,” said Dr Chong, who is also a Clinical Assistant Professor at the National University of Singapore’s Yong Loo Lin School of Medicine.
 
So, if a doctor orders an MRI brain scan to evaluate a patient’s cognitive symptoms and notices that the scan shows markers of cerebrovascular diseases, such as the enlarged perivascular spaces investigated in the NTU study, the clinician should not assume the patient’s cognitive impairment is due only to blood vessel problems. This is because the markers’ presence might increase the risk of the patient also having Alzheimer’s disease.
 
“Doctors will then have to use their clinical judgement of the patient’s scan and symptoms, as well as discuss with the patient, to determine if more checks are needed to confirm whether a patient has Alzheimer’s disease or not,” said Dr Chong.

The NTU research team plans to follow-up on the study participants to check how many go on to develop Alzheimer's dementia and to confirm that enlarged perivascular spaces can predict that people with these choked drains are more likely to progress to dementia.

Also, with more studies establishing the link between the clogged drains and Alzheimer’s in other populations, detecting enlarged perivascular spaces in MRI scans could one day be added to the existing tools available to clinicians to determine much earlier whether a patient will develop Alzheimer’s.
 


Disclaimer: AAAS and EurekAlert! are not responsible for the accuracy of news releases posted to EurekAlert! by contributing institutions or for the use of any information through the EurekAlert system.