Seeing the problem: visualizing thinning heart walls improves diagnosis
Stanford Cardiovascular Institute
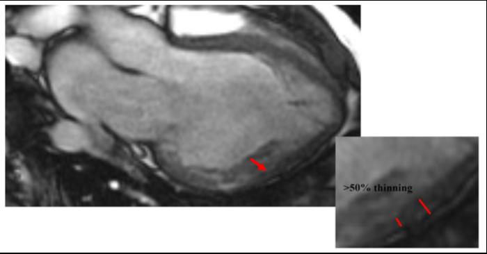
image: Abrupt thinning of heart muscle walls by over 50%, as detected by cardiac magnetic resonance imaging.
Credit: Koen Nieman
Individuals with heart dysfunction and heart muscle disorders can develop a serious condition known as left ventricular noncompaction (LVNC). LVNC can be life threatening – leading to heart failure, stroke, or even sudden cardiac death. However, LVNC can also be very hard to diagnose.
Cardiac magnetic resonance imaging has emerged as an important tool to identify patients with LVNC because of its excellent resolution. It is more accurate, reliable, and informative than traditional methods of assessing the heart, such as echocardiography. However, the current criteria for identifying LVNC patients using cardiac magnetic resonance imaging are based on information from a study with a small sample size, and they lack sensitivity. There is a risk that individuals with LVNC are being missed. More recent studies have suggested that heart muscle (myocardial) wall thinning, detectable using cardiac magnetic resonance imaging, is related to adverse clinical events and could be a valuable indicator of the disorder.
In a multicenter study recently published in the American Journal of Cardiology, a group of Stanford scientists led by Tea Gegenava, MD, PhD and Koen Nieman, MD, PhD, investigated the association between myocardial thinning and clinical outcomes in LVNC patients.
Data from 214 LVNC patients were used in the study; and myocardial thinning was assessed for each patient. The investigators calculated the relationship between the degree of myocardial thinning and having a major adverse cardiovascular event (such a hospitalization for heart failure, or stroke). They found that over a period of seven years, LVNC patients with myocardial thinning had more adverse events than those without thinning. Indeed, patients with myocardial thinning experienced 3 times worse outcomes.
This important study has therefore validated the use of myocardial thinning, visualized via cardiac magnetic resonance imaging, as a predictor for LVNC disease severity. Incorporating myocardial thinning into medical risk assessments in the future will improve the prediction and management of adverse outcomes of LVNC patients.
Additional Stanford Cardiovascular Institute-affiliated investigators who contributed to this study include Ashish Manohar and Matthew T. Wheeler.
Disclaimer: AAAS and EurekAlert! are not responsible for the accuracy of news releases posted to EurekAlert! by contributing institutions or for the use of any information through the EurekAlert system.