Study reveals how traditional herbal remedy “Jinfeng Pills” may improve fertility
Shanghai Jiao Tong University Journal Center
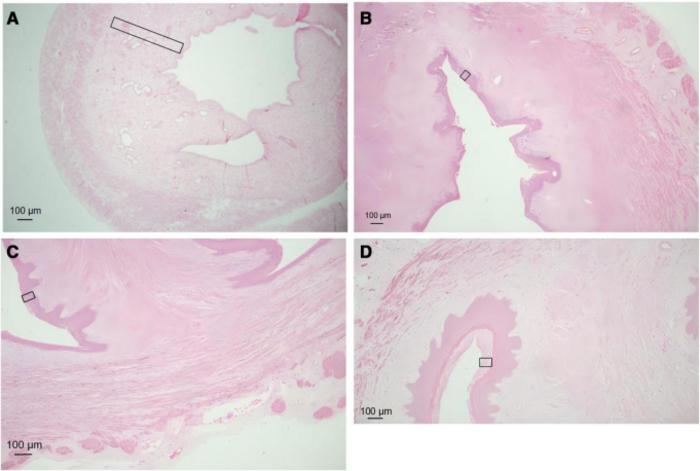
image: Morphological changes in each group (×100). The boxes indicate the thickness of the endometrium. (A) The morphology and thickness of the endometrium in the control group. (B) The model group exhibited a markedly thinner endometrium with structural disorganization. The characteristic undulating architecture was absent, accompanied by sparse glandular distribution and a reduced endometrial volume. (C) The morphology and thickness of the endometrium in the estrogen group. (D) The Jinfeng pills group displayed a markedly thicker endometrium characterized by a prominent, well-defined wavy pattern.
Credit: Gao, Hong; Cheng, Ling; Yan, Xiao-Hong; Zhang, Heng-Yuan; Wu, Rong-Feng; Li, You-Zhu.
A new study published in Reproductive and Developmental Medicine has uncovered the scientific mechanism behind a traditional Chinese herbal formula’s ability to restore endometrial receptivity in cases of thin endometrium in rats, a common cause of infertility.
The research, conducted on female Sprague-Dawley rats, demonstrates that Jinfeng Pills, a Chinese historical imperial harem formula, can significantly thicken the endometrium, boost glandular and vascular density, and enhance the expression of key molecular markers linked to uterine receptivity.
A thin endometrium, often defined as less than 7 mm thick, affects up to 2.5% of women struggling with infertility. It can result from factors such as repeated uterine surgeries, infections, or hormonal issues, leading to poor endometrial development, reduced blood flow, and a hostile environment for embryo implantation. Currently, there are no universally effective treatments, making it a persistent challenge in reproductive medicine.
Researchers created a thin endometrial model in rats using 95% ethanol to chemically damage the uterine lining. The animals were then divided into groups, including a control group, a model group (no treatment), an estradiol valerate group (a common hormonal treatment), and a Jinfeng Pills group.
Using a combination of histological staining, ELISA, immunofluorescence, and qPCR, the team analyzed changes in endometrial structure, serum biomarkers, and the expression of genes and proteins critical for implantation.
The results indicated that rats treated with Jinfeng Pills showed a significantly thicker endometrium with restored undulating structure, increased glandular density, and enhanced vascularization. Serum levels of vascular endothelial growth factor (VEGF), a key protein for blood vessel formation, were notably higher.
According to traditional Chinese medicine, Jinfeng Pills work by “warming the kidney, tonifying Yang, nourishing the liver and spleen, regulating Chong and Ren vessels, and promoting blood circulation.” This study provides a molecular basis for these claims, showing that the formula enhances vascular regeneration, supports endometrial repair, and improves the uterine environment for embryo attachment.
“This study experimentally confirms the efficacy of Jinfeng Pills in treating thin endometrium in a rats model and to preliminarily clarify its mechanism of action,” the authors noted. The findings open the door to more integrative treatment strategies, combining traditional medicine with modern reproductive technology to help patients with thin endometrium achieve successful pregnancies.
Disclaimer: AAAS and EurekAlert! are not responsible for the accuracy of news releases posted to EurekAlert! by contributing institutions or for the use of any information through the EurekAlert system.