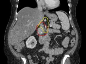
Image of a what is targeted with radiation. Red represents the pancreatic tumor, which is contacting with a major nearby...Johns Hopkins Medicine
Gene–environment Interaction of GWAS Loci and Reproductive History in Uterine Fibroid Risk...Xia & He Publishing Inc.
Overview of breast cancer initiation and progression....Sichuan International Medical Exchange and Promotion Association
Schematic of Vitamin-Derived Nanoplatforms for Precision Oncology...Sichuan International Medical Exchange and Promotion Association
Cell death, horizontal transfer of cell-free chromatin and mammalian evolution...Cactus Communications
Horizontal Transfer of Cell-Free Chromatin Particles: A New Frontier in Mammalian Genomics...Cactus Communications
Liver Transplantation Utilizing Grafts Donated After Medical Assistance in Dying Is Feasible and Has Outcomes Comparable...Elsevier